FastBreak™ Cell Lysis Reagent

Part Numbers: V8571, V8572, V8573

customize-this-small

Quick E. coli Cell Culture Lysis, No Centrifugation or Mechanical Disruption Required

  • Eliminate centrifugation and mechanical disruption
  • Simple, add-and-incubate protocol
  • Compatible with manual or robotic platforms

Size

Catalog number selected: V8571

Please Enquire
This product is discontinued
Add to Helix
This product is available under our Early Access program - Learn More
This product is available under our Catalog (FT) program - Learn More
FastBreak™ Cell Lysis Reagent

Efficient Lysis of E. coli Cultures; No Centrifugation or Mechanical Disruption Needed

FastBreak™ Cell Lysis Reagent is provided as a 10X concentrate and contains a proprietary nonionic detergent to facilitate lysis. Add the reagent directly to E. coli cultures. Following a brief incubation, the cells are disrupted, and the protein  released. Recombinant proteins can be directly screened in the cell extract or purified by the addition of the appropriate affinity matrix such as the MagneHis™ Protein Purification System. This product is suitable for both manual and automated protocols. 

Eliminate centrifugation and mechanical disruption with this easy-to-use, add and incubate reagent, compatible with manual and robotic platforms.

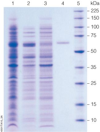
Manual purification of a 6X His-tagged fusion protein using FastBreak™ Cell Lysis Reagent and the MagneHis™ Protein Purification System.

Manual purification of a 6X His-tagged fusion protein using FastBreak™ Cell Lysis Reagent and the MagneHis™ Protein Purification System. Lane 1, bacterial cell lysate expressing 6X His-tagged firefly luciferase lysed by the addition of FastBreak™ Reagent; lane 2, postlysis cell supernatant demonstrating that the protein is solubilized; lane 3, flowthrough of cell lysate after the addition of MagneHis™ Ni-Particles; lane 4, eluted 6X His-tagged firefly luciferase; lane 5, Broad Range Protein Molecular Weight Markers (Cat.# V8491).

Specifications

You are viewing: V8571 Change Configuration

What's in the box?

Item Part # Size

FastBreak™ Cell Lysis Reagent, 10X

V857A 1 × 15ml

Certificate of Analysis

Search by lot number

Use Restrictions

For Research Use Only. Not for Use in Diagnostic Procedures.

Storage Conditions

P

Patents and Disclaimers

This product is licensed for use under U.S. Pat. No. 6,174,704.

Specifications

You are viewing: V8572 Change Configuration

What's in the box?

Item Part # Size

FastBreak™ Cell Lysis Reagent, 10X

V857B 1 × 60ml

Certificate of Analysis

Search by lot number

Use Restrictions

For Research Use Only. Not for Use in Diagnostic Procedures.

Storage Conditions

P

Patents and Disclaimers

This product is licensed for use under U.S. Pat. No. 6,174,704.

Specifications

You are viewing: V8573 Change Configuration

What's in the box?

Item Part # Size

FastBreak™ Cell Lysis Reagent, 10X

V857C 1 × 100ml

Certificate of Analysis

Search by lot number

Use Restrictions

For Research Use Only. Not for Use in Diagnostic Procedures.

Storage Conditions

P

Patents and Disclaimers

This product is licensed for use under U.S. Pat. No. 6,174,704.

Let's find the product that meets your needs.

Talk to a Scientist

scientist-uk-manos

Manos

UK